با ورود به هفته ۱۸ بارداری باید برای انجام سونوگرافی ویژهای اقدام کنید که در آن آناتومی بدن جنین با دقت بالایی بررسی میشود. سونوگرافی آنومالی که معمولا بین هفتههای ۱۸ تا ۲۲ بارداری بهویژه در هفته بیستم تجویز میشود، نقشی حیاتی در ارزیابی وضعیت سلامتی اندامها، رشد جنین و تشخیص ناهنجاریها دارد. بسیاری از مشکلات مادرزادی و ناهنجاریهای اساسی در این سونوگرافی تشخیص داده میشود؛ بنابراین در این مقاله از مجله سلامت دکتردکتر به بررسی نحوه انجام اسکن آنومالی، آمادگیهای لازم، موارد قابلبررسی، زمان انجام، اصطلاحات، اعداد نرمال و تفسیر آن میپردازیم تا آگاهتر از همیشه برای آینده نوزاد خود برنامهریزی کنید.
سونوگرافی آنومالی اسکن چیست؟
سونوگرافی آنومالی اسکن (Ultrasound Anatomy Scan) که به آن «سونوگرافی آناتومی» نیز میگویند با هدف بررسی رشد اندامها و قسمتهای مختلف بدن جنین انجام میشود.
اسکن آنومالی بین هفتههای ۱۸ تا ۲۲ بارداری تجویز شده و بههمیندلیل بسیاری از پزشکها و زنان باردار آن را با نام «سونوگرافی ۲۰ هفتهای» نیز میشناسند.
آنومالی یکی از مهمترین سونوگرافیهای دوارن بارداری است که علاوهبر ارزیابی وضعیت سلامت جنین و رشد اندامهای او، به تشخیص ناهنجاریها و برخی از بیماریهای مادرزادی نیز کمک خواهد کرد؛ اما کاربردهای این روش تنها در این موارد خلاصه نمیشود.

کاربردهای سونوگرافی آنومالی
سونوگرافی ۲۰ هفتهای بهدلایل زیر برای تمامی زنان باردار تجویز میشود:
- تشخیص جنسیت جنین؛
- بررسی رشد جنین؛
- ارزیابی سلامت جنین؛
- موقعیت و یکپارچگی اندامها؛
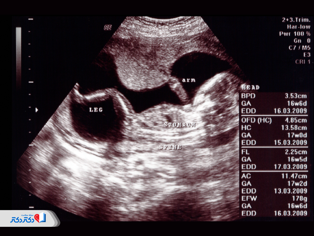
- اندازه اندامها (مانند دور سر، دور شکم و طول استخوان ران)؛
- تعداد اندامها (بهعنوانمثال تعداد کلیهها)؛
- بررسی وضعیت سلامت کلی اندامها؛
- تشخیص برخی ناهنجاریهای ساختاری اندامهای جنین؛
- تشخیص برخی بیماریهای مادرزادی؛
- کمک به تشخیص برخی بیماریهای ژنتیکی.
اسکن آنومالی برای چه کسانی ضروری است؟
پزشک زنان انجام سونو آنومالی را به تمامی زنان باردار توصیه میکند؛ چون بسیاری از ناهنجاریهای جنین بدونعلامت بوده و تنها با سونوگرافی قابل تشخیص هستند. اما لازم است بدانید که در شرایط زیر، انجام این سونوگرافی اجباری است و باید با دقت بالا انجام شود:
- سن مادر باردار ۳۵ سال و بالاتر است.
- آزمایشهای غربالگری در سهماهه اول بارداری، نتایج غیرطبیعی را نشان میدهند.
- مادر باردار سابقه قبلی سقطجنین یا مشکل جنینی داشته است.
- والدین نوزاد سابقه بیماریهای ژنتیکی و ناهنجاریهای جنینی در خانواده خود دارند.
اندامهای قابلبررسی در سونوگرافی آنومالی اسکن
در طول فرایند سونوگرافی آنومالی اسکن، پزشک متخصص وضعیت اندامهای زیر را بررسی میکند:
مغز
بررسی مغز در این سونوگرافی شامل موارد زیر است:
- ارزیابی فضاهای پُر از مایع داخل مغز و شکل مخچه؛
- تشخیص کیست در شبکه کوروئید (مجموعهای از عروق خونی و سلولهای اپاندیمال تولیدکننده مایع مغزی نخاعی).
کیستهای جنینی معمولا نشاندهنده افزایش خطر ناهنجاریهای کروموزومی هستند؛ اما خوشبختانه اکثر این کیستها تا هفته ۲۸ بارداری و بدون ایجاد تاثیر منفی روی جنین از بین خواهند رفت.

قلب
نقصهای مادرزادی قلب یکی از علتهای اصلی مرگومیر نوزادان هستند و در نتیجه تشخیص قبل از تولد منجر به دریافت خدمات درمانی مناسب خواهد شد. در طول فرایند اسکن آنومالی، دکتر رادیولوژی برای ارزیابی سلامت قلب جنین و شناسایی ناهنجاریهای احتمالی، موارد زیر را بررسی میکند:
- حفرههای قلب؛
- شریانها؛
- عروق بزرگ؛
- مجرای خروجی؛
- موقعیت قلب؛
- عملکرد قلب؛
- عضلات قلب؛
- اتصالات ماهیچهای؛
- ساختارهای آناتومیک قلب؛
- طبیعیبودن ضربان قلب جنین (بین ۱۲۰ تا ۱۸۰ ضربه در دقیقه)؛
- نشانههایی از ناهنجاریها و بیماریهای قلبی.
قفسه سینه و شکم و دیواره شکم
یکی از مهمترین بخشهایی که پزشک متخصص حین سونوگرافی آنومالی بهدقت بررسی میکند، قفسه سینه و شکم است؛ چون اندامهای حیاتی زیادی مانند قلب، ریهها، دیافراگم، کبد، معده، کلیهها، غدد فوقکلیوی و رودهها در این ناحیه قرار دارند.
در این مرحله، شکل قفسه سینه و دندهها و عملکرد ریهها بررسی خواهد شد. پزشک علاوهبر بررسی وضعیت، موقعیت و سلامت اندامهای مختلف شکمی، تعداد کلیهها و درستکارکردن اندامهایی مانند مثانه را ارزیابی میکند.
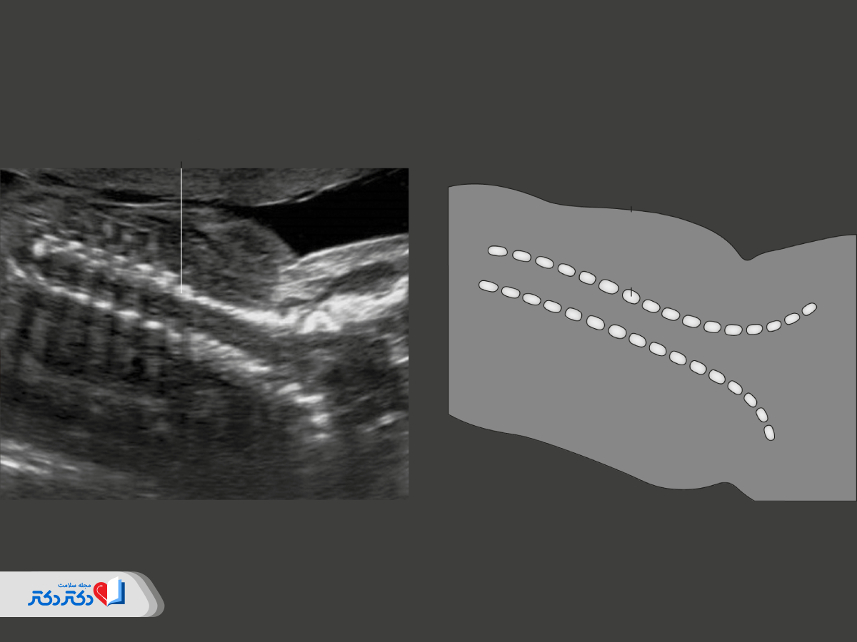
ستون فقرات
اصلیترین ناهنجاریهای اسکلتی و ستون فقرات در سونوگرافی آنومالی قابل مشاهده هستند؛ بنابراین ستون فقرات جنین از نمایی نزدیک و بهصورت مقطعی از نظر موارد زیر بررسی میشود:
- تراز بودن مهرهها (قرارگرفتن مهرهها در یکراستا)؛
- پوشش کامل ستون فقرات با پوست در پشت جنین؛
- شکل و وضعیت رشد استخوانها و مهرهها؛
- نحوه بستهشدن ستون فقرات جنین.
پزشک متخصص علاوهبر اطمینان از سلامت ستون فقرات، بهدنبال ناهنجاریهایی مانند انحراف یا نقص در ستون فقرات نیز میگردد. چون هر کدام از این موارد نشاندهنده ابتلا به بیماریهای مادرزادی یا اختلالات عصبی است.

گردن
پزشک رادیولوژی، گردن جنین را بررسی میکند تا علاوهبر اطمینان از وضعیت سلامت کلی، تودههای احتمالی که خطر ابتلا به بیماریهای زیر در نوزاد را افزایش میدهند نیز شناسایی شود:
- لنفانژیوم؛
- بزرگشدن تیروئید؛
- کیست شکاف برانشیال.
صورت
اگر جنین در موقعیتی مناسب قرار گرفته باشد؛ پزشک متخصص ممکن است شکافلب را بهخوبی تشخیص دهد. اما بهندرت میتوان شکافکام را در سونوگرافی آنومالی اسکن تشخیص داد.
طبق گزارشهای بنیاد شکافکام، شکافلب و شکافکام جزو چهارمین نقصهای مادرزادی شایع در جهان هستند؛ بههمیندلیل نیز تشخیص آنها اهمیت پیدا میکند.
حین بررسی موارد بالا، پزشک وضعیت چانه، بینی و چشمهای جنین را نیز بررسی خواهد کرد.

مایع آمنیوتیک
مایع آمنیوتیک نقش بسیار مهمی در رشد و حفاظت از جنین دارد؛ بنابراین پزشک میزان این مایع در اطراف جنین را اندازهگیری میکند تا مطمئن شود جنین قادر به حرکت آزادانه خواهد بود. میزان مایع آمنیوتیک با اصطلاحات پزشکی زیر در گزارش مشخص میشود:
| اصطلاحات | توضیحات | علت |
| الیگوهیدرآمنیوس | کمبودن مقدار مایع آمنیوتیک نسبت به سن بارداری |
|
| پلیهیدرآمنیوس | زیادبودن مقدار مایع آمنیوتیک نسبت به سن بارداری |
|
دستگاه تناسلی
اگر جنین در موقعیتی مناسب قرار گرفته و اندکی همکاری کند؛ ممکن است پزشک متخصص لابیا و کلیتوریس یا آلتتناسلی و بیضهها را نیز تشخیص دهد.
بند ناف
پزشک برای اطمینان از وضعیت بند ناف، موارد زیر را بررسی میکند:
- موقعیت بند ناف؛
- اتصال کامل و عادی آن به شکم جنین؛
- اتصال به جفت؛
- جریان خون بند ناف؛
- داشتن ۳ رگ.
موقعیت جفت
بعد از بررسی وضعیت بند ناف، پزشک موقعیت جفت را ارزیابی کرده و بهویژه دنبال جفت سرراهی میگردد.

سایر اندامهای جنین
پزشک رادیولوژی علاوهبر اندامهای مهمی مانند مغز و قلب، کلیه و کبد و ریه، اندامهای زیر را بررسی و طول برخی از آنها را اندازهگیری میکند تا میزان رشد جنین مطابق با سن بارداری ارزیابی شود:
- سر؛
- گردن؛
- بازوها؛
- دستها؛
- پاها؛
- انگشتها.
رحم و تخمدانهای مادر
در سونوگرافی آنومالی اسکن، علاوهبر بررسی سلامت کلی جنین، وضعیت رحم و تخمدانهای مادر نیز ارزیابی میشود. در برخی موارد، پزشک برای بررسی دهانه رحم از دستگاه سونوگرافی ترانس واژینال استفاده میکند؛ چون کوتاه یا بازشدن دهانه رحم در این هفتهها، مادر و جنین را در معرض خطر زایمان زودرس قرار میدهد.
در کنار موارد بالا، آنومالی اسکن با اندازهگیری مقاومت جریان خون در شریانهای رحمی (مطالعه داپلر شریان رحمی)، خطر ابتلا به پرهاکلامپسی (فشار خون بالا در دوران بارداری) را ارزیابی میکند.

بهترین زمان انجام سونوگرافی آنومالی اسکن
بهترین زمان سونوگرافی آنومالی در هفته بیستم بارداری است. دلیل تعیین این زمان را در ادامه بررسی میکنیم.
رشد کافی اندامهای جنین
در هفتههای ۱۸ تا ۲۲ بارداری، اندامهای جنین بهاندازه کافی رشد کرده و بزرگ هستند؛ بنابراین میتوان آنها را با جزئیات بررسی کرد. اما قبل از هفته ۱۸ بارداری، برخی از اندامها هنوز کامل نشدهاند و ممکن است سونوگرافی تمامی ناهنجاریها و مشکلات را مشخص نکند.
نفوذ بهتر امواج صوتی
جنین هنوز کوچک است و در نتیجه امواج صوتی بهطور موثری نفوذ میکنند تا اندامهای بیشتری بررسی شود.
فضای کافی رحم مادر
در هفته بیستم بارداری، رحم مادر خیلی پُر نشده و جنین فضای کافی برای حرکت دارد تا پزشک متخصص به تمامی اندامهای او دسترسی داشته باشد.

اقدامات قبل از سونوگرافی آنومالی اسکن چیست؟
زنان باردار سوالات زیادی مانند «برای سونوگرافی آنومالی باید مثانه پُر باشد؟» یا «برای سونوگرافی آنومالی باید ناشتا باشیم؟» درباره این روش دارند؛ بنابراین در ادامه شرایط آمادگی برای این سونوگرافی بررسی میشود:
شرایط آمادگی برای سونوگرافی آنومالی
| شرایط آمادگی | توضیحات |
| پُر بودن مثانه | پُر بودن مثانه در این روش سونوگرافی ضروری نیست؛ اما ممکن است پزشک متخصص به شما توصیه کند قبل از آزمایش آب بنوشید تا مثانه نیمهپُر باشد. |
| ناشتایی | برای اسکن آنومالی نیازی به ناشتایی نیست. |
در برخی موارد، پزشک متخصص توصیه میکند که قبل از سونوگرافی، خوراکی شیرینی مانند شکلات یا خرما بخورید تا احتمال حرکت جنین افزایش پیدا کند. برای جلوگیری از احساس ناراحتی حین سونوگرافی، از خوردن غذاهای نفخآور خودداری کنید.

سونوگرافی آنومالی چگونه انجام میشود؟
مراحل سونوگرافی آنومالی اسکن به شرح زیر است:
- جواهرات، ساعت، عینک، لباسها و تمامی وسایلی که ممکن است در نتیجه سونوگرافی اختلال ایجاد کنند را درآورده و لباس مخصوص بیمارستان بپوشید.
- روی میز مخصوص روبهبالا دراز کشیده و لباس خود را بالا بزنید تا ناحیه شکم بدون پوشش باشد.
- پزشک متخصص مقداری از ژل مخصوص را روی پروب سونوگرافی میمالد. این ژل بر پایه آب بوده و حساسیتی ایجاد نمیکند. وظیفه ژل، جلوگیری از تشکیل حفرههای هوا بین مبدل (پروب) و پوست است تا امواج صوتی بهدرستی و بدونمانع هدایت شوند.
- مبدل دستگاه در تماس با پوست، امواج صوتی را با فرکانسی مشخص به بدن ارسال میکند. این امواج که برای گوش انسان بسیار بلند بوده و شنیده نمیشوند؛ در برخورد با ساختارها و اندامهای جنین، منعکس میشوند.
- پزشک متخصص پروب را در جهات مختلف روی شکم مادر حرکت میدهد تا از هر زاویهای تصویری واضح و کامل گرفته شود.
- پزشک حین حرکت پروب و با اشاره به مانیتور، اطلاعاتی درباره جنین به شما ارائه میکند.
- زمانیکه پژواکها از بافتها و اندامهای مختلف جنین به مبدل برمیگردند به تصاویر متحرک روی مانیتور دستگاه سونوگرافی تبدیل میشوند.
- با تشکیل تصاویری از اندامها و ساختارهای بدن جنین روی مانیتور، پزشک برای اندازهگیری دقیق آنها اقدام کرده و همزمان دنبال ناهنجاریها و نشانههای مشکلات مادرزادی میگردد.
- پزشک متخصص علاوهبر علامتگذاری و تعیین اندازه و ابعاد اندامها روی تصاویر، توضیحاتی نیز به دستیار خود میدهد تا در گزارش سونوگرافی آنومالی یادداشت کند.
- با تمامشدن فرایند اسکن آنومالی، پزشک چند دستمال کاغذی به شما میدهد تا ژلهای باقیمانده را از روی شکم خود پاک کنید.
- در نهایت بهآرامی از روی تخت بلند شده و لباسهای خود را بپوشید تا تصاویر دستگاه سونوگرافی و گزارش متنی پرینت و به پرونده شما ضمیمه شود.
- اگر پزشک رادیولوژی موردی نامشخص یا با وضوح غیرطبیعی ببیند، با مشورت پزشک متخصص زنان، انجام مجدد یا سونوگرافی سهبعدی/ چهاربعدی را توصیه میکند.

بیماریهای قابلتشخیص با کمک سونوگرافی آنومالی اسکن
سونوگرافی ۲۰ هفتهای یا آنومالی فرصتی برای شناسایی ناهنجاریها، بیماریهای مادرزادی و نشانههای خاص از اختلالات ژنتیکی بالقوه مانند سندرم داون یا تریزومی ۱۸ (سندرم ادوارد) فراهم میکند.
توجه کنید که آنومالی تنها با احتمال ۵۰٪، سندرم داون را تشخیص میدهد؛ بنابراین هنوز نیاز به آزمایشهای دیگری است. با این تفاسیر نتیجه میگیریم که اسکن آنومالی تمامی بیماریهای مادرزادی و ناهنجاریها را تشخیص نمیدهد.
تشخیص بیماریها در اسکن آنومالی
ناهنجاریها و مشکلات مادرزادی که با اسکن آنومالی میتوان تشخیص داد به شرح زیر هستند:
| ناهنجاریها و بیماریها | توضیحات |
| آنانسفالی | نوعی نقص مادرزادی بسیار جدی که در آن بخش بزرگی از مغز، جمجمه و پوستسر جنین تشکیل نشده و بافت مغزی باقیمانده بدون جمجمه و پوست است. |
| تریزومی ۲۱ | سندرم داون که باعث تاخیر در رشد ذهنی و جسمی نوزاد شده و ویژگیهای چهره را تغییر میدهد. |
| تریزومی ۱۸ | سندرم ادوارد که باعث اختلالات ساختاری جدی مانند عقبماندگی ذهنی، ناهنجاریهای قلبی و سر کوچک میشود. |
| تریزومی ۱۳ | سندرم پاتو که باعث ناهنجاریهای جدی مغزی و قلبی، نقص شدید رشد، سقط جنین و مرگ نوزاد در ماههای اول زندگی میشود. |
| اسپینا بیفیدا | اسپینا بیفیدا یا مُهرهشکافدار نوعی نقص مادرزادی لوله عصبی است که مانع بستهشدن ستونفقرات و نخاع جنین میشود. |
| ناهنجاریهای مادرزادی قلب | نقص دیواره بطنی؛ ناهنجاری دریچهای؛ نقص مجرای ورودی و خروجی قلب؛ آریتمی قلبی؛ تشکیل ناقص یا انسداد دریچهها (آترزیا)؛ نقص ترکیبی ساختاری قلب (تترالوژی فالوت)؛ جابهجایی عروق بزرگ قلب. |
| امفالوسل | نقص دیواره شکم که در آن کبد، رودهها و سایر اندامهای شکمی جنین از روزنهای در ناحیه ناف به سمت بیرون شکم برآمده میشوند. |
| دیسپلازی اسکلتی | اختلال ژنتیکی نادری که باعث بدشکلی استخوانها، کوتاهیقد، کوتاهی دستوپا و مشکلات حرکتی میشود. |
| روده اکوژنیک | روشنبودن روده جنین بیشتر از حدمعمول (در حد استخوان در تصاویر) که معمولا بهدلیل کاهش حرکت روده یا وجود مکونیوم غلیظ بوده و ممکن است نشانه سندرم داون، عفونتهای ویروسی یا سیستیک فیبروزیس باشد. |
| فتق دیافراگم | نقص یا سوراخی در عضله دیافراگم که باعث نفوذ اندامهای شکمی به داخل قفسه سینه میشود. |
| آژنزی کلیه | ناهنجاری مادرزادی که در آن یکی یا هر دو کلیههای جنین تشکیل نمیشوند. |
| گاستروشزی | نقص مادرزادی که بهدلیل وجود سوراخی نزدیک ناف، رودههای نوزاد بیرون میزنند. |
| برآمدگی مخچه | رشد غیرطبیعی سلولهای مخچه که باعث ناهماهنگی حرکات، عدم تعادل و کنترل عضلات میشود. |
| جفت سرراهی | جفت بهجای بخش فوقانی در بخش تحتانی رحم مادر قرار گرفته و دهانه رحم را میپوشاند. |
| الیگوهیدرآمنیوس | کمبودن مایع آمنیوتیک که باعث محدودیت رشد جنین و افزایش احتمال زایمان زودرس میشود. |
| پلیهیدرآمنیوس | کمبودن مایع آمنیوتیک که باعث تنگینفس مادر، پارهشدن زودتر کیسهآب و زایمان زودرس میشود. |
| شکاف کام | نقص مادرزادی که در آن سقف دهان جنین بهطورکامل بستهنشده و حفرهای بین دهان و بینی ایجاد میشود. |
همانطور که در جدول بالا میبینید، اسکن آنومالی به تشخیص بیماریها و ناهنجاریهای متعددی کمک میکند؛ بنابراین پیشنهاد میشود از خدمات دریافت نوبت حضوری دکتردکتر برای انجام سونوگرافی در مرکزی مدرن و معتبر استفاده کنید. در نهایت نیز از خدمت ویزیت آنلاین دکتردکتر برای تفسیر نتیجه توسط پزشک متخصص زنان بهرهمند شوید.

سونوگرافی آنومالی و تعیین جنسیت
یکی از کاربردهای اسکن آنومالی، تعیین جنسیت جنین است. بنابراین اگر در سونوگرافیهای سهماهه اول بارداری جنسیت جنین مشخص نشده است، اکنون فرصت خوبی است. اما اگر نمیخواهید جنسیت جنین را بدانید، قبل از سونوگرافی به پزشک بگویید تا ناگهان شما را غافلگیر نکند.
نکته مهم اینکه، سونوگرافی آنومالی برای تعیین جنسیت زمانی موفق خواهد بود که جنین در موقعیتی مناسبی قرار گرفته و پزشک بتواند اندام تناسلی او را ببیند. بنابراین اگر جنین در وضعیت مناسبی نباشد، تصمیمگیری درباره جنسیت او برای پزشک متخصص چالشبرانگیز خواهد بود؛ چون همیشه حاشیه کوچکی از خطای احتمالی در تعیین جنسیت وجود دارد.
سونوگرافی آنومالی چقدر طول میکشد؟
سونو آنومالی معمولا بین ۴۵ دقیقه تا ۱ ساعت برای بارداری تکقلو زمان میبرد. اما در مواردی که پزشک بهدلیل موقعیت نامناسب جنین با چالش مواجه شود؛ ممکن است به زمان بیشتری برای سونوگرافی کامل نیاز داشته باشد.
اگر در طول جلسه سونوگرافی و بهدلیل عدم تغییر وضعیت بدن جنین، پزشک موفق به بررسی دقیق تمامی اندامها نشود؛ احتمالا جلسه دیگری برای تکمیل تصاویر و گزارشها تنظیم خواهد شد.
رنگها در سونوگرافی آنومالی
سونوگرافی ۲۰ هفتهای از امواج صوتی فرکانس بالا استفاده میکند و پژواکهای منعکسشده به تراکم بافتهایی بستگی دارند که به آنها برخورد کردهاند. بنابراین هر بافت با رنگهای مشخص زیر در تصاویر نمایش داده میشود:
| رنگ تصاویر | نوع بافت |
| سیاه | مایع |
| خاکستری | بافتهای نرم |
| روشن | استخوان |

معنی اصطلاحات سونوگرافی آنومالی و تفسیر آن
مفهوم اصطلاحات سونوگرافی آنومالی که در گزارش نهایی ثبت میشوند بههمراه تفسیر آنها در ادامه آمده است:
| اصطلاحات | مفهوم | تفسیر |
| BPD (Biparietal Diameter) | قطر دوپاریتال یا قطر سر (فاصله بین دو طرف سر) |
|
| HC (Head Circumference) | دور سر |
|
| AC (Abdominal Circumference) | دور شکم |
|
| FL (Femur Length) | طول استخوان ران |
|
| CRL (Crown-Rump Length) | طول فرق سر تا کفل (طول از بالای سر تا پایین) |
|
| HL (Humeral length) | طول استخوان بازو |
|
| TCD (Trans-Cerebellar Diameter) | قطر مخچهای (قطر بین نیمکرههای مخچه) |
|
| FP (Fetal Pyelectasis) | پیلکتازی جنینی (قطر لگنچه کلیه) |
|
| IOD (Interocular Distance) | فاصله بینچشمی (اندازهگیری ناحیه بین دو گوشه داخلی هر دو چشم) | شناسایی سندرمها و ناهنجاریهای مادرزادی |
| OFD (Occipital-Frontal Diameter) | قطر پسسری-پیشانی (ناحیه بین پیشانی جنین و پشت سر) | کمک به پیشبینی شکل سر |
| BOD (Binocular Distance) | فاصله دوچشمی (اندازهگیری ناحیه بین دو گوشه خارجی چشمها) | شناسایی ناهنجاریها |
| EFW (EFW) | وزن تخمینی جنین |
|

اعداد نرمال در سونوگرافی آنومالی
پارامترهای مختلفی در اسکن آنومالی اندازهگیری میشوند که میانگین و محدوده اعداد نرمال آن به شرح زیر هستند:
| پارامترها | مقدار میانگین در هفته بیستم (میلیمتر) | محدوده نرمال (میلیمتر) |
| BPD | ۵۰ | ۴۷ تا ۵۳ |
| FL | ۳۳ | ۳۰ تا ۳۶ |
| HC | ۱۸۵ | ۱۷۰ تا ۲۰۰ |
| AC | ۱۵۵ | ۱۴۰ تا ۱۷۰ |
جدول زیر پارامترهای اصلی سونوگرافی آنومالی را بین هفتههای ۱۸ تا ۲۲ با حداقل اعداد نرمال مقایسه میکند:
| هفته بارداری | BPD (میلیمتر) | FL (میلیمتر) | HC (میلیمتر) | AC (میلیمتر) |
| هفته ۱۸ | ۳۸ | ۲۳ | ۱۳۲ | ۱۲۵ |
| هفته ۲۰ | ۴۹ | ۳۴ | ۱۷۰ | ۱۵۲ |
| هفته ۲۲ | ۵۷ | ۴۲ | ۲۰۸ | ۱۹۶ |
دادههای جدول بالا، حداقل اعداد اندازهگیری شده هستند؛ بنابراین مقدار میانگین و اعداد نرمال در سونوگرافی آنومالی دختر و پسر ممکن است چند میلیمتر کمتر یا بیشتر باشد.
خطرات سونوگرافی آنومالی اسکن
آنومالی روشی ایمن و بیخطر برای مادر و جنین است؛ چون مانند سونوگرافی استاندارد، از امواج صوتی با فرکانسی مشخص استفاده میکند. اما برخلاف آنومالی، سایر روشهای تصویربرداری مانند رادیوگرافی و سیتیاسکن بهدلیل استفاده از اشعه و انرژی بسیار زیاد آن، خطراتی برای مادر و جنین دارند.
هزینه سونوگرافی آنومالی اسکن
هزینه سونوگرافی آنومالی به عوامل متعددی به شرح زیر بستگی دارد:
- منطقه جغرافیایی؛
- نوع مرکز درمانی (دولتی، خصوصی یا فوقتخصصی)؛
- تخصص پزشک؛
- نوع سونوگرافی (استاندارد یا چندبعدی)؛
- گستردگی سونوگرافی؛
- تکنولوژی تجهیزات؛
- پوششهای بیمه پایه؛
- پوششهای بیمه تکمیلی؛
- نیاز به تکرار سونوگرافی؛
- خدمات جانبی (چاپ عکس یا فایل دیجیتال و گزارش تخصصی).

تفاوت سونوگرافی آنومالی و سونوگرافی ان تی (NT)
تفاوت سونوگرافی آنومالی و سونوگرافی NT در جدول زیر بررسی میشود:
| تفاوتها / روش سونوگرافی | سونوگرافی آنومالی | سونوگرافی انتی |
| هدف | بررسی دقیق آناتومی جنین
|
|
| تمرکز |
| ضخامت شفافیت پشت گردن جنین |
| قابلیتهای تشخیص |
| ارزیابی خطر ناهنجاریهای کروموزومی |
| روش انجام | معاینه جامع سونوگرافی غیرتهاجمی | سونوگرافی غیرتهاجمی |
| بهترین زمان انجام سونوگرافی | بین هفتههای ۱۸ تا ۲۲ بارداری | بین هفتههای ۱۱ تا ۱۴ بارداری |
| مدتزمان | بین ۴۵ دقیقه تا ۱ ساعت | بین ۱۰ تا ۲۰ دقیقه |
| پیگیری | نظارت و مشاوره پزشکی | آزمایشهای تشخیصی بیشتر در صورت لزوم |
| ایمنی | بیخطر برای مادر و جنین | بیخطر برای مادر و جنین |
کلام آخر دکتردکتر
سونوگرافی آنومالی یا هفته بیستم با هدف ارزیابی رشد جنین، وضعیت سلامت اندامها و شناسایی نشانههایی از ناهنجاریها و برخی مشکلات مادرزادی انجام میشود. این آزمایش نقش مهمی در فراهمکردن امکانات مراقبتی برای نوزادانی با بیماریهای مختلف دارد تا زودتر درمان شروع شوند. باتوجهبه اهمیت و ضرورت این سونوگرافی، پیشنهاد میشود وقت ویزیت حضوری از دکتردکتر گرفته و پس از سونوگرافی برای تفسیر نتیجه از خدمات ویزیت آنلاین دکتر زنان دکتردکتر استفاده کنید.
