ماموگرافی یکی از مهمترین و دقیقترین روشهای غربالگری و تشخیص زودرس سرطان پستان است که میتواند تغییرات غیرطبیعی بافت پستان را حتی پیش از بروز علائم بالینی آشکار کند. آگاهی از کاربردهای ماموگرافی، زمان مناسب انجام آن و نقش آن در شناسایی ضایعات خوشخیم و بدخیم، گامی مؤثر در حفظ سلامت زنان محسوب میشود. در این مقاله به بررسی کاربرد ماموگرافی و اهمیت آن در تشخیص زودهنگام سرطان پستان در زنان میپردازیم و نکات کلیدی مرتبط با این روش تشخیصی را مرور میکنیم.
ماموگرافی چیست؟
ماموگرافی نوعی تصویربرداری با اشعه ایکس با دُز پایین از بافت پستان است. پزشکان و ارائهدهندگان خدمات سلامت از ماموگرام یا ماموگرافی برای شناسایی علائم اولیه سرطان پستان، پیش از بروز هرگونه نشانه بالینی، استفاده میکنند که به آن ماموگرافی غربالگری گفته میشود. همچنین در صورتی که علائم جدیدی مانند توده، درد، ترشح از نوک پستان یا تغییرات پوستی پستان ایجاد شود، از ماموگرافی برای بررسی ناهنجاریها بهره میگیرند که در این حالت به آن ماموگرافی تشخیصی گفته میشود.
چرا باید ماموگرافی انجام داد؟
پس از سرطان پوست، سرطان پستان شایعترین سرطان در میان زنان در ایران و جهان است و حدود ۱۵ درصد از کل تشخیصهای جدید سرطان در ایالات متحده را به خود اختصاص میدهد. تشخیص زودهنگام نقش بسیار مهمی در افزایش شانس بقا در سرطان پستان دارد. انجام منظم ماموگرافی کلید شناسایی زودرس این بیماری است. زمانی که سرطان پستان در مراحل اولیه تشخیص داده شود، میزان بقای پنجساله به حدود ۹۹ درصد میرسد. ماموگرافی بهعنوان استاندارد طلایی در شناسایی تغییرات بافت پستان، پیش از تبدیل آنها به سرطان، شناخته میشود.
حتی اگر بهطور منظم ماموگرافی انجام میدهید، آشنا بودن با ظاهر و حس طبیعی پستانهای خود همچنان اهمیت دارد. اگر هرگونه تغییری مشاهده کردید یا احساس غیرعادی داشتید، حتماً با پزشک خود مشورت کنید.

چه کسانی باید ماموگرافی کنند؟
کارگروه خدمات پیشگیرانه ایالات متحده توصیه میکند که همه زنان از ۴۰سالگی تا ۷۵سالگی، هر ۲ سال یک بار ماموگرافی انجام دهند. البته برخی انجمنها و گروههای پزشکی دیگر توصیههای متفاوتی دارند. بهتر است درباره اینکه کدام توصیه برای شما مناسبتر است، با پزشک یا ارائهدهنده خدمات سلامت خود مشورت کنید.
اگر در معرض خطر بالاتری برای ابتلا به سرطان پستان باشید، ممکن است لازم باشد ماموگرافی غربالگری را پیش از ۴۰ سالگی یا با فواصل کوتاهتر انجام دهید. همچنین پزشک شما ممکن است انجام آزمایشهای تکمیلی دیگری مانند سونوگرافی سینه یا امآرآی پستان را نیز توصیه کند.
پزشک یا ارائهدهنده خدمات سلامت میتواند با انجام ارزیابی خطر سرطان پستان مشخص کند که آیا شما در گروه پرخطر قرار دارید یا خیر. در صورت داشتن هر یک از عوامل خطر زیر، درباره زمان شروع ماموگرافی غربالگری سالانه با پزشک خود صحبت کنید:
- سابقه شخصی ابتلا به سرطان پستان؛
- سابقه خانوادگی سرطان پستان یا تخمدان؛
- جهشهای ژنتیکی ارثی مانند BRCA1 و BRCA2؛
- برخی بیماریهای خوشخیم (غیرسرطانی) پستان مانند هیپرپلازی داکتال آتیپیک؛
- تراکم بالای بافت پستان.
در مواردی نادر، مردان نیز بهدلیل سابقه خانوادگی ممکن است در معرض خطر بالاتری قرار داشته باشند و نیاز به ماموگرافی غربالگری داشته باشند. با این حال، بهطور کلی حدود ۱ مورد از هر ۱۰۰ مورد سرطان پستان در مردان رخ میدهد.
ماموگرافی هر چند وقت یک بار باید انجام شود؟
دفعات انجام ماموگرافی به میزان خطر ابتلا به سرطان پستان بستگی دارد. اگر خطر شما در حد متوسط باشد، توصیه میشود از سن ۴۰ سالگی هر یک تا ۲ سال یک بار ماموگرافی انجام دهید. در صورت داشتن خطر بالاتر، ممکن است لازم باشد ماموگرافی را زودتر آغاز کنید یا با فواصل کوتاهتری انجام دهید. برنامه مناسب ماموگرافی بر اساس سابقه پزشکی و سایر عوامل فردی شما تعیین میشود، بنابراین حتماً دراینباره با پزشک خود مشورت کنید.
انواع ماموگرافی
۲ نوع اصلی ماموگرافی وجود دارد:
- ماموگرافی دیجیتال دوبعدی (2D)؛
- ماموگرافی دیجیتال سهبعدی (3D) یا توموسنتز دیجیتال پستان.
ماموگرافی دوبعدی (2D)
در ماموگرافی دوبعدی از هر پستان در ۲ زاویه متفاوت تصویر تهیه میشود، معمولاً یک تصویر از بالا به پایین و یک تصویر از کنار به کنار.
ماموگرافی سهبعدی (3D)
ماموگرافی سهبعدی نوع جدیدتری از ماموگرافی است که در آن هر پستان تنها یک بار فشرده میشود و دستگاه در حالی که بهصورت قوسی روی پستان حرکت میکند، چندین تصویر با اشعه ایکس تهیه میکند. سپس رایانه این تصاویر را بهصورت برشهایی از مقاطع مختلف پستان کنار هم قرار میدهد و امکان مشاهده بافت پستان بهصورت سهبعدی را برای پزشکان و ارائهدهندگان خدمات سلامت فراهم میکند.

ماموگرافی چگونه انجام میشود؟
ماموگرافی از دستگاه اشعه ایکسی استفاده میکند که بهطور ویژه برای بافت پستان طراحی شده است. این دستگاه اشعه ایکس را با دُز تابشی کمتر نسبت به اشعه ایکسی که برای بررسی استخوانها به کار میرود، تولید میکند.
در حین ماموگرافی، پستان شما روی صفحهای نگهدارنده که به دستگاه اشعه ایکس متصل است قرار داده میشود. سپس تکنولوژیست با صفحهای موازی به نام پدل، پستان را فشرده میکند. دستگاه اشعههایی تولید میکند که از پستان عبور کرده و به آشکارسازی در سمت مقابل میرسند. این آشکارساز سیگنالهای الکترونیکی را به رایانه منتقل میکند تا یک تصویر دیجیتال تشکیل شود. به این تصاویر «ماموگرام» گفته میشود.
فشردهسازی پستان در ماموگرافی ضروری است تا پستان ثابت بماند و حرکت آن که میتواند باعث تار شدن تصاویر اشعه ایکس شود، به حداقل برسد. فشردهسازی همچنین شکل پستان را یکنواخت میکند تا اشعه ایکس مسیر کوتاهتری را برای رسیدن به آشکارساز طی کند. این کار امکان استفاده از دُز تابشی کمتر را فراهم کرده و کیفیت تصویر را بهبود میبخشد.
ماموگرافی توسط تکنولوژیست رادیولوژی یا ماموگرافر انجام میشود. این افراد آموزشهای تخصصی لازم برای انجام ایمن و درست ماموگرافی را دیدهاند. سپس دکتر رادیولوژی که دارای بورد تخصصی و صلاحیت ویژه در تفسیر ماموگرامهاست، تصاویر ماموگرافی را مشاهده و تحلیل میکند. او نتایج را برای پزشکتان ارسال میکند و پزشکتان آنها را با شما در میان میگذارد.

مراحل انجام ماموگرافی
ماموگرافی شامل مراحل زیر است:
- باید تمام لباسها و زیورآلات از ناحیه کمر به بالا را درآورید. ارائهدهنده خدمات سلامت یک گان یا روپوش بیمارستانی جلوباز یا پارچه پوشاننده در اختیار شما قرار میدهد.
- مقابل دستگاه ماموگرافی میایستید و تکنولوژیست از شما میخواهد هر بار یک پستان را از زیر روپوش خارج کنید. سپس پستان روی صفحه نگهدارنده مخصوص قرار داده میشود.
- تکنولوژیست یک صفحه پلاستیکی (پدل) را پایین میآورد تا پستان بین آن و صفحه نگهدارنده فشرده شود. در زمان فشردهسازی ممکن است احساس فشار یا ناراحتی داشته باشید. اگر تحمل این فشار برایتان دشوار است، حتماً به تکنولوژیست اطلاع دهید تا تنظیمات لازم را انجام دهد.
- دستگاه در حالی که پستان فشرده است، تصاویر لازم را تهیه میکند.
- اگر هر ۲ پستان را دارید، این مراحل برای پستان دیگر نیز تکرار میشود.
- پس از پایان تصویربرداری توسط تکنولوژیست، روند ماموگرافی به اتمام میرسد. میتوانید لباسهای خود را بپوشید و مرکز را ترک کنید.
ماموگرافی چقدر طول میکشد؟
ماموگرافیهای غربالگری معمولاً حدود ۱۵ تا ۲۰ دقیقه زمان میبرند. ماموگرافی تشخیصی ممکن است به دلیل نیاز به تهیه تصاویر بیشتر، مدت زمان طولانیتری داشته باشد.
آیا ایمپلنتهای پستان در ماموگرافی اختلال ایجاد میکنند؟
داشتن ایمپلنت پستان (سیلیکونی یا سالینی) و بافت اسکار ناشی از آن میتواند مشاهده کامل بافت پستان و مشکلات احتمالی را در ماموگرافیهای معمول برای رادیولوژیست دشوارتر کند.
برای اینکه رادیولوژیست بتواند تا حد امکان بافت پستان را بهتر ببیند، در افرادی که ایمپلنت دارند معمولاً علاوه بر چهار تصویر استاندارد ماموگرافی غربالگری، از هر پستان ۲ تصویر اضافی نیز تهیه میشود. به این تصاویر اضافی «نماهای جابهجایی ایمپلنت» یا Implant Displacement (ID) views گفته میشود.
در نماهای ID، تکنولوژیست بهآرامی ایمپلنت پستان را به سمت عقب و به طرف دیواره قفسه سینه هدایت میکند، سپس بافت پستان را به سمت جلو روی ایمپلنت میکشد و بعد پستان را فشرده میکند. این کار امکان تصویربرداری بهتر از بخش جلویی هر پستان را فراهم میسازد.
مهم است هنگام تعیین وقت ماموگرافی، وجود ایمپلنت پستان را به مرکز تصویربرداری اطلاع دهید و در روز انجام ماموگرافی نیز حتماً تکنولوژیست را در جریان بگذارید.
چه زمانی برای ماموگرافی مناسب است؟
هنگام زمانبندی انجام ماموگرافی، چند نکته وجود دارد که بهتر است به آنها توجه کنید.
اگر در دوران شیردهی هستید، باردارید یا فکر میکنید ممکن است باردار باشید، حتماً به پزشک یا ارائهدهنده خدمات سلامت خود اطلاع دهید. ممکن است بهترین زمان انجام ماموگرافی را به شما پیشنهاد کنند یا توصیه کنند ابتدا سونوگرافی انجام شود.
اگر پریود میشوید، سعی کنید ماموگرافی را در هفته قبل از شروع قاعدگی یا در طول دوره قاعدگی انجام ندهید. در این زمان پستانها معمولاً حساستر هستند و ممکن است فشردهسازی پستانها دردناکتر و انجام ماموگرافی ناراحتکنندهتر باشد.
اگر ایمپلنت پستان دارید یا بهتازگی واکسن دریافت کردهاید، حتماً این موضوع را هنگام تعیین وقت به مسئول مربوطه اطلاع دهید.
قبل از ماموگرافی چه کنیم؟
در روز انجام ماموگرافی، این دستورالعملها را رعایت کنید:
- روال عادی خود را ادامه دهید؛ غذا بخورید، مایعات بنوشید و داروهای معمولتان را مصرف کنید.
- از دئودورانت، عطر، لوسیون یا پودر بدن استفاده نکنید، زیرا این مواد میتوانند در دقت تصاویر اشعه ایکس اختلال ایجاد کنند.
- برای انجام تصویربرداری باید از ناحیه کمر به بالا لباس خود را درآورید. لباس یا روپوش مخصوص پزشکی در اختیار شما قرار داده میشود تا آن را بپوشید.

تفسیر نتایج ماموگرافی
بعد از ماموگرافی ممکن است لازم باشد مدتی منتظر دریافت نتیجه بمانید. شما نامهای حاوی نتیجه دریافت میکنید که اطلاعات کلی و قابلفهمی درباره نتیجه ارائه میدهد. در این نامه ممکن است طبیعی بودن نتایج یا نیاز به مراجعه مجدد برای تصویربرداریهای تکمیلی ذکر شده باشد.
گزارش ماموگرافی شما همچنین شامل اطلاعاتی درباره تراکم پستان است؛ یعنی میزان بافت فیبروزی و غدهای پستانها در مقایسه با بافت چربی. ارائه این اطلاعات اکنون طبق قانون الزامی است.
اینروزها بهلطف هوش مصنوعی افراد بسیاری تفسیر گزارش آزمایشات پزشکی خود را به این ابزارها میسپارند. اما فراموش نکنید که تفسیر دقیق نتیجه هر آزمایشی ازجمله ماموگرافی به عهده پزشک است. نه شما و نه هوش مصنوعی صلاحیت این کار را ندارید. اگر درباره نتایج خود سؤالی دارید، حتماً آن را با پزشک خود مطرح کنید.
تشخیص جواب ماموگرافی نرمال و مشکوک
رادیولوژیستها و ارائهدهندگان خدمات سلامت از یک سیستم استاندارد در گزارشهای پزشکی برای توصیف یافتههای ماموگرافی غربالگری و تشخیصی استفاده میکنند که «سیستم گزارشدهی و دادههای تصویربرداری پستان» یا BI-RADS نام دارد. این سیستم جواب ماموگرافی را در دستههایی با شماره ۰ تا ۶ طبقهبندی میکند و شامل دستهبندی شما، نوع یافتهها و توضیح آنها (از جمله میزان خطر ابتلا به سرطان) است.
| دسته BI-RADS | عنوان | توضیح |
| 0 | ناقص (Incomplete) | این نتیجه نشان میدهد رادیولوژیست ممکن است ناحیهای غیرطبیعی مشاهده کرده باشد، اما برای ارزیابی دقیقتر به تصاویر بیشتری مانند ماموگرافی تشخیصی یا سونوگرافی نیاز است. همچنین ممکن است لازم باشد MRI اخیر پستان با تصاویر قدیمیتر مقایسه شود تا تغییرات احتمالی در طول زمان بررسی گردد. |
| 1 | منفی (Negative) | این نتیجه به این معناست که رادیولوژیست هیچ ناهنجاری قابلتوجهی در تصاویر مشاهده نکرده است. |
| 2 | خوشخیم (Benign) | در این حالت، یک یافته خوشخیم (غیرسرطانی) در پستان مشاهده شده است؛ مانند کیست خوشخیم، غده لنفاوی یا فیبروآدنوم. این یافته برای مقایسه با تصویربرداریهای آینده ثبت میشود. |
| 3 | احتمالاً خوشخیم (Probably benign) | یافتههای این دسته بیش از ۹۸٪ احتمال خوشخیم بودن دارند. با این حال، چون خوشخیم بودن آنها قطعی نیست، رادیولوژیست توصیه میکند تحت نظر باشند و معمولاً انجام تصویربرداری تکمیلی (مثلاً MRI) پس از شش ماه پیشنهاد میشود. |
| 4 | ناهنجاری مشکوک (Suspicious abnormality) | این نتیجه نشان میدهد یافتهها طبیعی نیستند و ویژگیهایی دارند که میتواند نشانه سرطان باشد. در این موارد، انجام بیوپسی پستان برای بررسی بیشتر توصیه میشود. احتمال سرطانی بودن بین ۲٪ تا ۹۵٪ است. |
| 5 | بهشدت مشکوک به بدخیمی (Highly suggestive of malignancy) | یافتهها بسیار شبیه سرطان هستند و حداقل ۹۵٪ احتمال بدخیم بودن دارند. رادیولوژیست بهطور جدی انجام بیوپسی پستان را توصیه میکند. |
| 6 | بدخیمی تأییدشده با بیوپسی (Known biopsy-proven malignancy) | این دسته برای مواردی استفاده میشود که سرطان بودن آنها قبلاً با بیوپسی تأیید شده است. از MRI برای بررسی وسعت سرطان و یا میزان پاسخ به درمان استفاده میشود. |
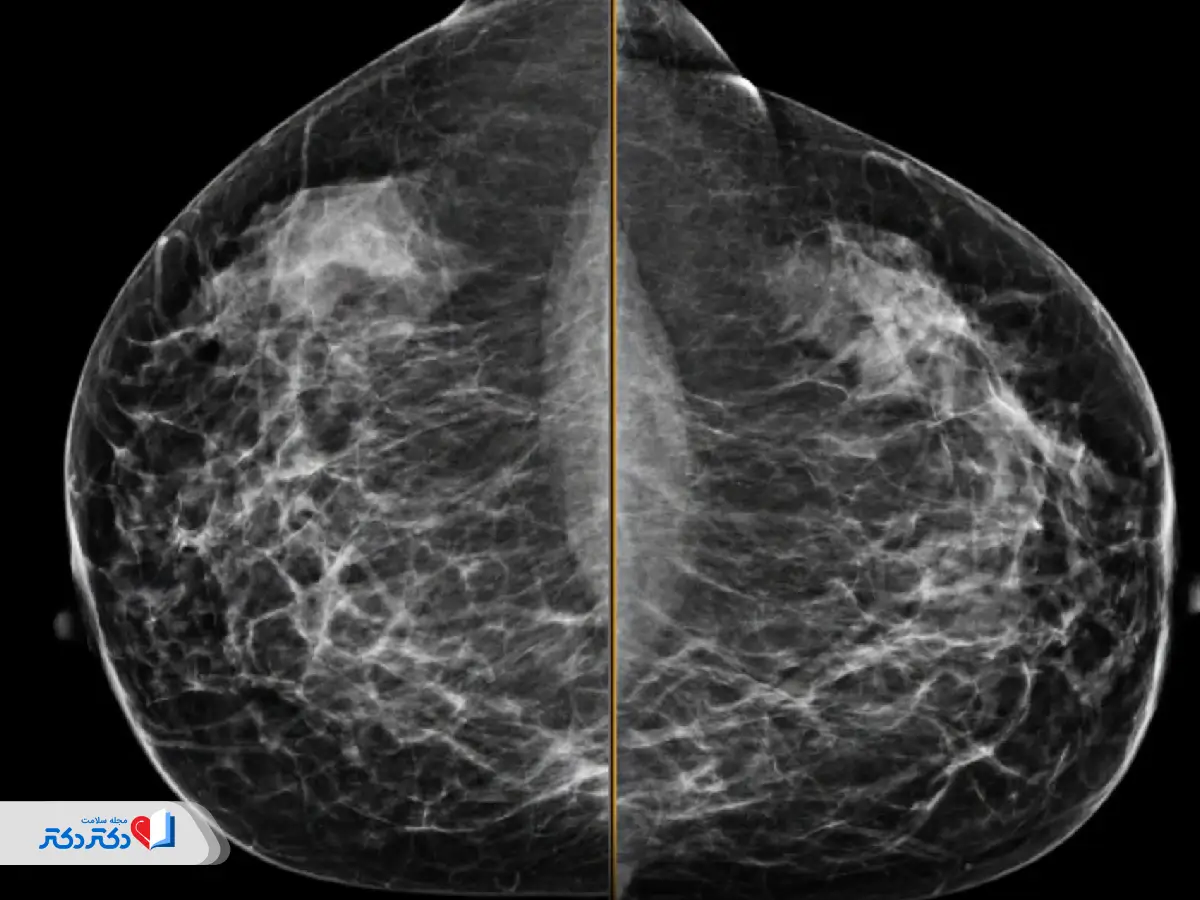
عکس ماموگرافی نرمال و مشکوک
باید بدانید که تفسیر عکس ماموگرافی و نوع عارضه احتمالی وظیفه متخصص رادیولوژی و پزشک است. به علاوه گاهی ماموگرافی بهتنهایی برای تشخیص نهایی کافی نیست؛ بهویژه در مورد خوشخیم یا بدخیم بودن توده. برای آشنایی بیشتر شما در زیر چند نمونه عکس ماموگرافی مشاهده میکنید. ولی فراموش نکنید که بسته به نوع عارضه، تراکم بافت پستان و دقت تصاویر ممکن است عکس ماموگرافی شما متفاوت از عکسهای زیر باشد.




ماموگرافی بهتر است یا سونوگرافی؟
سونوگرافی و ماموگرافی هر کدام نقاط قوت و ضعف متفاوتی دارند. ممکن است نیاز به سونوگرافی پستان پیدا کنید اگر پزشک شما در ماموگرافی چیزی غیرعادی مشاهده کند. مثلاً وقتی ماموگرافی ضایعهای در پستان نشان میدهد، سونوگرافی میتواند کمک کند که مشخص شود آیا ضایعه کیست است یا توده جامد.
| ویژگی | ماموگرافی | سونوگرافی پستان |
| استفاده از اشعه | دارد (مقدار کم) | ندارد |
| تمایز بین کیست و توده جامد | ندارد | دارد |
| تشخیص ناهنجاری در بافت پستان متراکم | ضعیف | بهتر |
| شناسایی رسوبهای کلسیمی (کلسیفیکاسیونها) | خوب | خیلی کم اثر |
| دید کل پستان | دارد | ندارد |
| دید بافت عمیق پستان | دارد | ندارد |
| مشاهده غدد لنفاوی زیر بغل | دارد | ندارد |
| کاربرد معمول | غربالگری سرطان پستان | تشخیص ناهنجاریهای یافت شده در غربالگری |
ماموگرافی همچنان استاندارد طلایی برای غربالگری سرطان پستان محسوب میشود. به همین دلیل توصیه میشود که زنان از سن ۴۰ سالگی هر ۲ سال یک بار ماموگرافی انجام دهند.
سونوگرافی پستان معمولاً بهعنوان آزمایش مکمل یا تکمیلی بعد از ماموگرافی انجام میشود. برای افرادی که بافت پستان متراکم دارند، بهعنوان مثال، سونوگرافی گاهی میتواند بدخیمیهایی را شناسایی کند که در تصویر ماموگرافی قابل مشاهده نیستند.
خطرات و عوارض ماموگرافی
برای بیشتر زنان بالای ۵۰ سال، فواید انجام منظم ماموگرافی از خطرات احتمالی آن بیشتر است.
عوارض ماموگرافی شامل موارد زیر میشود:
- قرار گرفتن در معرض مقدار کمی اشعه ناشی از اشعه ایکس.
- نتیجه مثبت کاذب: نتیجهای که احتمال وجود سرطان را نشان میدهد، اما در بررسیهای تکمیلی مشخص میشود نادرست بوده است. نتایج مثبت کاذب ممکن است به دلیل وجود بافت اسکار، کیستها یا بافت متراکم پستان ایجاد شوند.
- نتیجه منفی کاذب: به این معنا که سرطان پستان وجود دارد، اما در ماموگرافی شناسایی نشده است.
- بیشتشخیصی و درمان غیرضروری: سرطانی در پستان تشخیص داده و درمان میشود که ممکن است هرگز به مرحله تهدیدکننده زندگی نرسیده باشد. تشخیص اینکه کدام سرطانهای پستان میتوانند خطرناک شوند و کدامیک نه، همیشه آسان نیست.
اگرچه ماموگرافی غربالگری مؤثرترین روش برای تشخیص سرطان پستان در زنان بالای ۵۰ سال است، اما همیشه کاملاً دقیق نیست. گاهی اوقات، ماموگرافی میتواند سرطان پستانی را که در زمان غربالگری وجود دارد، شناسایی نکند. تشخیص سرطان پستان در زنانی که بافت پستان متراکمتری دارند، دشوارتر است.
اگر تودهای را لمس میکنید و با وجود دریافت نتیجه منفی ماموگرافی همچنان نگران هستید، به پزشک عمومی خود مراجعه کنید تا درباره ارجاع به کلینیک تخصصی پستان یا جراح پستان مشورت شود. پزشک متخصص میتواند بررسیهای بیشتری انجام دهد و در صورت لزوم، درخواست آزمایشهای تکمیلی مانند سونوگرافی، بیوپسی، توموسنتز یا MRI با تزریق ماده حاجب را بدهد.
اگر احتمال بارداری وجود دارد، حتماً پزشک و تکنولوژیست را مطلع کنید. اگرچه ماموگرافی در دوران بارداری ایمن است، اما در صورتی که باردار باشید و خطر بالایی برای ابتلا به سرطان پستان نداشته باشید، ممکن است پزشکان توصیه کنند انجام ماموگرافی غربالگری به زمان دیگری موکول شود.
آیا ماموگرافی درد دارد؟
یکی از عوارض ماموگرافی برای برخی افراد، به دلیل فشاری که در حین فشردهسازی به بافت پستان وارد میشود، ناراحتکننده و حتی دردناک بودن آن است. خبر خوب این است که ماموگرافی روشی کوتاهمدت است و این ناراحتی مدت زیادی طول نمیکشد. اگر درد شدید احساس کردید، فوراً تکنولوژیست را در جریان بگذارید.
میزان ناراحتیای که ممکن است تجربه کنید به چند عامل بستگی دارد، ازجمله:
- اندازه و تراکم پستانها؛
- میزان فشردهسازی مورد نیاز پستانها؛
- نزدیک بودن به زمان قاعدگی یا قرار داشتن در دوره قاعدگی؛
- مهارت تکنولوژیست رادیولوژی؛
- توانایی شما در آرام بودن و قرار گرفتن در وضعیت مناسب برای ثبت تصاویر باکیفیت.

هزینه ماموگرافی چقدر است؟
بسته به اینکه ماموگرافی غربالگری باشد یا تشخیصی، در مراکز دولتی انجام شود یا خصوصی، دوبعدی یا سهبعدی بودن و همچنین نوع آن (یکطرفه یا دوطرفه) هزینه ماموگرافی متغیر خواهد بود.
در سال ۱۴۰۴ ماموگرافی سینه در مراکز خصوصی بسته به مواردی که پیشتر ذکر شد، بین حدود ۴۰۰هزار تا حدود ۲میلیون تومان متغیر است. بیمه پایه مبلغی جزئی و بیمه تکمیلی بسته به نوع آن ممکن است بخشی یا همه این مبلغ را پوشش دهد. برای اطلاع از رقم دقیق هزینه ماموگرافی بهتر است با مرکز خدماتدهنده تماس بگیرید.
کلام آخر دکتردکتر
ماموگرافی یکی از مؤثرترین و قابلاعتمادترین روشها برای تشخیص زودهنگام سرطان پستان در زنان به شمار میرود. این روش تصویربرداری میتواند تغییرات غیرطبیعی بافت پستان را پیش از بروز علائم بالینی شناسایی کند و نقش مهمی در کاهش مرگومیر ناشی از سرطان پستان داشته باشد. تشخیص زودهنگام، امکان شروع درمان در مراحل اولیه بیماری را فراهم میکند و شانس موفقیت درمان و حفظ کیفیت زندگی بیمار را بهطور قابلتوجهی افزایش میدهد.
با توجه به شیوع بالای سرطان پستان، انجام منظم ماموگرافی مطابق با سن، سابقه خانوادگی و توصیه پزشک، اقدامی ضروری در مسیر پیشگیری و مراقبت از سلامت زنان محسوب میشود. برای تصمیمگیری درباره انجام این آزمایش میتوانید همینجا در دکتردکتر از پزشک متخصص وقت ویزیت آنلاین یا حضوری بگیرید.
